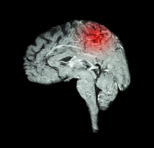
A dor em pacientes que tiveram AVC é uma complicação comum e incapacitante que reduz a qualidade de vida, segundo um estudo multicêntrico europeu que avaliou mais de 100 pacientes com diagnóstico de AVC em estágio sub-agudo e crônico.
A dor central pós-AVC ocorre devido ao acometimento de regiões do sistema nervoso central envolvidas no processamento de informações sensitivas. A dor geralmente localiza-se nos segmentos do corpo onde há presença de comprometimento motor e sensorial.
É uma dor persistente, de difícil tratamento, acompanhada de alterações sensoriais, descrita pelos pacientes como em queimação, choque, além de alodínea (sensação desagradável ou de dor com estímulos em geral inofensivos).
Existem meios físicos e exercícios específicos feitos pela fisioterapia que tem objetivo de minimizar a dor e as alterações sensoriais causadas pelo AVC. Além disso, o acompanhamento feito pelo médico especialista é muito importante, pois ele pode propor esquemas analgésicos e até recorrer a procedimentos cirúrgicos para o controle da dor.
DICA: para dessensibilizar a área atingida aplique diferentes estímulos como frio/ calor, diferentes texturas (esponjas, areia, algodão), a vibração de um massageador, etc. A estimulação repetitiva auxilia na dessensibilização.
Tire suas dúvidas com nossos fisioterapeutas!
Clínica Motricità – Ciência em Movimento
Tel: (11) 2695-4132 WhatsApp: (11) 97679-4420
Rua Borges de Figueiredo 303, sala 14, condomínio Atrio Giorno, São Paulo